Rotten teeth don’t happen overnight. They often begin with silent damage: small changes in your daily routine that quietly erode your enamel. Tooth decay begins with bacteria feeding on sugars in your mouth. These bacteria produce acids that eat away at the surface of your teeth.
Over time, that erosion leads to cavities, infections, and eventually tooth loss. Here’s how the process begins and what habits might be accelerating it without you even knowing.
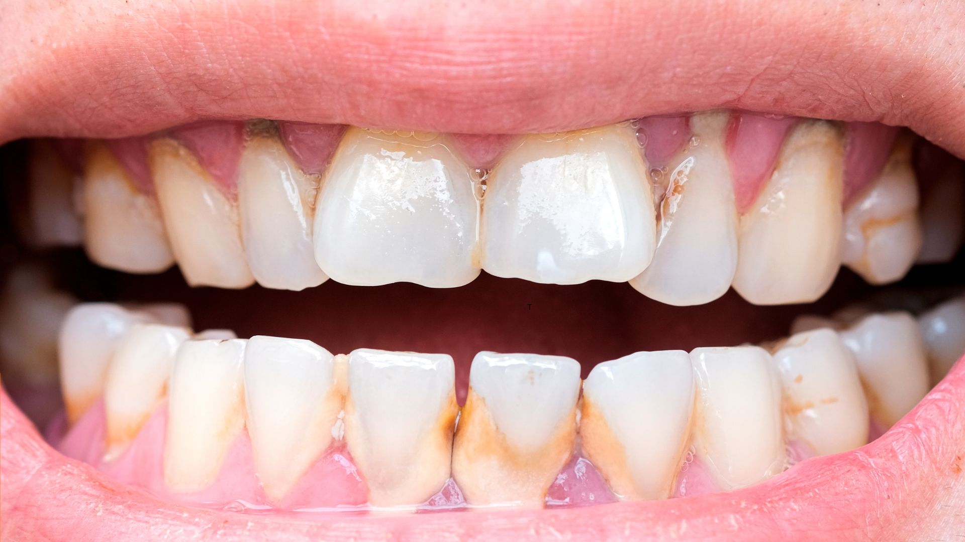
The Chain Reaction That Starts With Plaque
Plaque builds up every day. It’s a sticky film of bacteria that coats your teeth after you eat or drink, especially sugary items. Left alone, plaque hardens into tartar and starts to erode tooth enamel. The longer it stays on your teeth, the deeper the damage goes.
This erosion opens the door to decay. Acid weakens enamel, forming tiny holes, and these eventually become larger cavities. If they reach the pulp (the innermost part of your tooth), pain and infection follow.
Sugary Snacks and Frequent Sipping
What you eat matters, but how often you eat matters just as much. Constant snacking, especially on sugary or starchy foods, feeds mouth bacteria nonstop. They respond by producing acid every time you take a bite.
Soft drinks and fruit juices are a major problem. Sipping them slowly throughout the day gives bacteria a steady sugar supply. This keeps your mouth in an acidic state, preventing it from recovering. Water doesn’t have this effect, and rinsing after meals helps.
Hidden Sugar Sources That Worsen Decay
Many foods people think are healthy come loaded with sugar. Granola bars, flavored yogurts, and sports drinks often pack as much sugar as soda. These contribute to decay even when they seem like smart choices. Reading labels can help reduce unintentional sugar intake.
Poor Brushing Habits
Brushing your teeth only once a day won’t cut it. Plaque can harden in as little as 24 hours if not removed. And aggressive brushing can cause gum recession, exposing the root surface to decay.
Flossing gets neglected more often than brushing. But between your teeth is where plaque hides and festers. Without flossing, you leave up to 40% of your tooth surface untouched. That gives decay a place to start.
Ignoring Dry Mouth
Saliva is your mouth’s natural defense. It neutralizes acid and washes away food particles. But if you often feel thirsty or have a dry mouth, your saliva production may be too low. This makes it easier for decay to develop.
Dry mouth is common among people who take medications for blood pressure, allergies, or depression. Mouth breathing also dries tissues quickly. Sipping water and using saliva substitutes can help restore balance.
Skipping Regular Dental Checkups
When you avoid the dentist, small issues become large ones. Early tooth decay often causes no pain, so it goes unnoticed. Dental exams can spot it long before you can feel or see anything.
Professional cleanings remove hardened plaque that brushing alone can’t fix. If left, tartar buildup fuels decay under the gumline. X-rays also reveal damage that stays hidden from view.
Using Your Teeth as Tools
Biting your nails, tearing open packages, or chewing on pens can all crack enamel. These small fractures become openings for bacteria to enter. Over time, they can lead to decay below the surface.
Teeth aren’t built for anything but chewing food. Treating them as tools increases the risk of rot. It’s an easy habit to break once you understand the damage it can cause.
Conclusion
Tooth decay doesn’t start with sudden pain or broken teeth. It begins with small, daily habits that wear down your natural defenses and give bacteria the upper hand. Many people don’t realize their routines might be working against them until it’s too late.
Simple changes like better brushing, drinking more water, or cutting back on snacks can stop decay before it starts. Paying attention to these habits can save your smile in the long run. You don’t need extreme fixes, just consistent care. Your teeth are tough, but they’re not invincible.





